
Inspección:
1.
Labios.
2.
Encías.
3.
Dientes.
Palpación
Bucal:

1.
Técnica: dos manos.
2.
Índice y Pulgar.
3.
Deslizamiento de dedos.
4.
Maniobra Lingual.
Lesiones de la cavidad bucal:
Malignas:
1.
Cáncer de lengua.
2.
Cáncer de labio.
3.
Leucoplasia.
c Benignas:
1.
Herpes labial.
2.
Gingivitis.
3.
Chamcros.
4.
Épulis.
5.
Quiste epiteliales
Cáncer de labio:
1.
Varones mayores de 50 años.
2.
Mayormente labio inferior.
3.
Ulceración en la superficie de la
mucosa.
4.
Metástasis tardía.
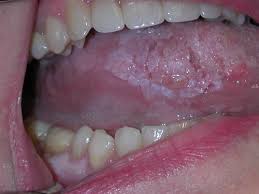
Cáncer de Lengua:
1.
Mas frecuente de la cavidad
bucal.
2.
Ulcera necrotica indurada.
3.
Metástasis frecuentes y precoces.
Lesiones Benignas de la Lengua:
1.
Avitaminosis.
2.
Traumatismos.
3.
Tuberculosis.
4.
Sífilis.
5.
Lengua Geográfica.
Lesiones Benignas de la Cavidad Bucal:
1.
Épulis:
·
Tumor nodular, pardo rojizo, firme, no
doloroso, y inflamatorio.
2.
Ranula:
·
Proceso quistito, tenzo azulado,
localizado en el suelo bucal e indoloro.
No hay comentarios:
Publicar un comentario